
(一般美容サロンとは決定的に違い、初回は歯科医師によるオンライン診療を実施)
(医療ジェルは目指せる白さが段違いです。)
(無理な勧誘はありません)
人前で歯をみせて笑うことに躊躇っていませんか?
-はじめての方へ-
歯の着色によるお悩みを解決する「医療提携ホワイトニングBloomin’我孫子」の5つのこだわり

当店はセルフホワイトニングサロンでありながら、歯科医との連携を行うことにより医師によるオンライン診療を行っています。
これにより、歯科医でしか使用することのできない医療ジェルの使用が可能となります。
最初に歯の状態を確認し、薬剤の使用やホワイトニング実施の可否を確認することで安心して始めていただくことができます。
万が一の場合のサポートも歯科医への連携が可能なため安心です。
多くのセルフサロンでは医師の診療がないため、歯の表面の汚れ落とししかできません。また、海外から輸入した日本での品質検査を受けていない薬剤を使用し、白くなるものの痛みが強く出ることがあります。
当店では医師の診療・処方を受けた薬剤の使用ができるため安全でありながら納得のいく白さを実現することにこだわっています。

当店では一般的なサロンで使用される「美容ジェル」ではなく、歯科医で使用される「医療ジェル」を使うことができます。
これは「過酸化水素」という医療成分を含むジェルで、歯の内部にある着色物質とくっつき、汚れ分子を切断し分解する能力があります。これにより歯の表面だけでなく内面まで漂泊することができます。
ホワイトニングの本来の目的である「歯自体を白く」することが可能になります。それだけでなく、虫歯の予防や口腔環境の改善にも効果的です。
一般的なサロンでは「美容ジェル」を使用しています。これには医療成分が含まれないため、歯の内面の汚れにアプローチすることができません。つまり、表面の着色汚れを落とす作業をしており歯自体を白くすることはできません。始めて数回の間は表面の汚れが落ちて少し白くなるものの、理想の白さになることなく辞めてしまう方が多いです。
日本人の歯は欧米人と比べてエナメル質が薄いことから黄味がかって見えます。そこに歯の内部の着色汚れがつくことでより黄ばんで見えます。誰から見ても歯の白い状態にもっていくためには内面の汚れ除去が肝になります。
当店ではセルフサロンという手軽さがありつつ、しっかりと効果を実感いただくことにこだわっています。

白さは“作る”より“安定させる”方が難しいです。
短期間で一気に白くなった歯は、戻るのも早くなってしまいます。当店では約3か月の集中ケアで、色戻りしにくい白さを定着させていきます。
およそ1か月半から2か月程度で目標の白さへ到達される方が多いです。そこで通う頻度を下げてしまうと色戻りが早くなってしまうため、そこから1か月間は白さを定着させる期間を設けています。
これにより理想の白さを定着させ、長期間頻繁に通うことなく白さをキープすることが可能になります。

ホワイトニングを開始されてからは極力集中して通っていただくことが最も効果的です。白さを定着させてからは月に1回~2回のペースで続けていくと維持が可能です。
最初は特に頻度が重要となります。しっかり白くなるまでの間は回数を気にせずにご来店いただきたい、という思いから通い放題としました。歯科医では1回2万円~3万円、一般のホワイトニングサロンでは1回5000円~8000円となるため、回数を通おうと思うと心理的な抵抗が生まれやすく頻度が落ちてしまい効果が感じられなくなってしまいます。
また、コーヒーやワイン、カレーといった歯に着色しやすいものの飲食をしたからリセットしに行こう、という気軽な使い方ができることで、極力我慢することない生活を送っていただきたいと考えています。

当店では安心してご利用頂くために効果保証制度を設けております。
医療ジェルを使用したセルフホワイトニングは歯の内面の着色を落とすことができることから、しっかりと白くすることが可能です。
ただ、初めてのサロンで本当に効果が出るか不安に感じられる方も多いと思います。
当店としましても、せっかく始めていただいた方には誰から見ても「白い!」と言われる水準になっていただきたい。
これらの思いから誰から見ても白いと言われる水準で、美容ジェルでは到達できないS10の白さまでは保証させていただくこととしました。
万が一到達できない場合、それがお客様の生活習慣によるものであってもS10になるまでは追加の施術代金はいただきません。
当店の店名Bloomin’は咲き誇るという意味を持ちます。
笑顔に自信をもって咲き誇るあなたになっていただけるよう、一緒に取り組んでいきたいと考えています。
ご新規様限定
カウンセリング+医療提携ホワイトニング体験
¥8,900 → ¥3,980(税込)
当店は約3ヶ月を目安に白さを目指すホワイトニングサロンです。
カウンセリングでは「どのくらい白くなるのか」「必要な来店回数の目安」「おすすめの通い方」をご案内します。
(初回は美容ジェルでのホワイトニング体験となります)
所要時間:約60分

お客様の声
-
まるさん
毎回変化を楽しみにしています。前にも歯医者でホワイトニングしていましたが、明らかに白くなっています。 急な変更もありがとうございます。
-
れなさん
準備の仕方やジェルの塗り方など1つ1つ丁寧に教えてくださってわかりやすかったです!通い放題なので、白くなるまで頑張りたいと思います!
-
さきさん
最近我孫子に出来たセルフホワイトニングサロンで、 試しに通い始めましたが、セルフで医療ジェル使えてコスパ良いのでオススメです! リクライニングの椅子がマッサージになっててそこも個人的に嬉しいです普通に爆睡してしまいました!
-
m.mさん
初めて利用しましたが丁寧な接客と、医療ジェルを使用したホワイトニングが低価格で利用出来るのがとても良いと思いお願いしました。 初回の施術からしっかり白くなったので満足です! 今後お世話になります。
-
saki kさん
最近出来たサロンで通い始めましたか、セルフで医療ジェル使えてコスパ良いのでオススメです! リクライニングの椅子がマッサージになっててそこも個人的に嬉しいです!
-
m. aiharaさん
最近我孫子にオープンしたセルフホワイトニングサロンで、歯科で使用される医療ジェルを使用したホワイトニングがセルフでお得に通えるのでコスパが良くてオススメです。肝心の効果も初回から4トーンほど明るくなり想像以上でした。 今後もお世話になります...
-
R Aさん
最近オープンしたセルフホワイトニングサロンで、医療ジェルを使って通い放題で出来るのでとても良いです! 行く度にどんどん白くなるので毎回行くのが楽しみです!
「医療提携ホワイトニングBloomin’我孫子」セルフホワイトニングの施術

まずは施術前の解説です。
こちらのお客様はコーヒーやワインを飲む機会が多く、全体的に着色が目立つ状態です。これから理想の白さに向けて施術に入っていきます。

施術に入る前に医師によるオンライン診療を行います。簡単な質問にお答えいただき、お口の画像を送信すると1時間程度で医師の診療結果が届きます。施術可能となりましたら医療ジェルが処方されオンライン上で購入できます。

今の歯の状態からどれくらいの白さを目指すかを決めていきます。個人差はあるものの、おおよその施術回数の目安がわかりますので今後の通い方をご案内します。また、日常生活でご注意いただきたいことなどご案内しますので理想の白さに向けて一緒に取り組んでいきましょう。

お客様ご自身で、歯の表面のクリーニングや水分の拭き取りを行っていただきマウスオープナーを装着します。最後に医療ジェルを塗っていきます。医療ジェルにLEDライトの熱を加えることで水と活性酸素が発生します。この発生した活性酸素が歯の内部にある着色物質とくっつき、汚れ分子を切断し分解する能力があります。気になるところは特に丁寧に塗っていきましょう。
最初はスタッフが一つ一つご案内しますので初めての方でも心配いりません。

マッサージチェアに座っていただいたら、スタッフがマシンを操作しいよいよスタートです。30分の照射を2回行っていきます。照射中はマッサージされながらリラックスしてお過ごしください。
施術中は歯の着色汚れが分解され、歯自体が白くなっていきます。
何か気になることなどがございましたらボタンでスタッフをお呼びください。

施術前と施術後のお色味の確認をいただきます。個人差はありますが4~5トーン明るくなる方がほとんどです。毎回の施術後に写真で記録していきますので毎回の変化を楽しみながら続けていきましょう。
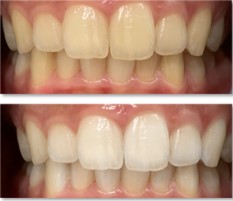
Before → After
1回目の施術
スタッフによる特別な施術なし
高価な歯磨き粉の使用やケアは一切なし
1度の施術で6トーン明るさが変化しました。
こちらのお客様は初回の施術ですが全体的に着色の多かった歯が明るく艶やかに変化。
今後の施術でさらに白くきれいになっていきます。

歯の着色の悩みは「医療提携ホワイトニングBloomin’我孫子」にお任せ!!
歯科レベルの白さに導くエリアで唯一の過酸化水素入りジェルを使用した実力派のホワイトニング
薬剤が強すぎて痛い・沁みるを抑えたこだわりの医療ジェル
汚れの分解を効率的に行う業界最高レベルのLEDマシン
しっかり白くなるまで月に何度でも利用できるエリア唯一の通い放題サロン
始めていただいた方全員に白くなっていただく効果保証
あなたが自信をもって誇る、白く輝く笑顔を手に入れませんか!
我孫子駅・東我孫子駅・天王台駅から車で5分!
356号線沿いの隠れ家サロンです。
ご新規様限定
カウンセリング+医療提携ホワイトニング体験
¥8,900 → ¥3,980(税込)
当店は約3ヶ月を目安に白さを目指すホワイトニングサロンです。
カウンセリングでは「どのくらい白くなるのか」「必要な来店回数の目安」「おすすめの通い方」をご案内します。
(初回は美容ジェルでのホワイトニング体験となります)
所要時間:約60分

来店したお客様の声
-
まるさん
毎回変化を楽しみにしています。前にも歯医者でホワイトニングしていましたが、明らかに白くなっています。 急な変更もありがとうございます。
-
れなさん
準備の仕方やジェルの塗り方など1つ1つ丁寧に教えてくださってわかりやすかったです!通い放題なので、白くなるまで頑張りたいと思います!
-
さきさん
最近我孫子に出来たセルフホワイトニングサロンで、 試しに通い始めましたが、セルフで医療ジェル使えてコスパ良いのでオススメです! リクライニングの椅子がマッサージになっててそこも個人的に嬉しいです普通に爆睡してしまいました!
-
m.mさん
初めて利用しましたが丁寧な接客と、医療ジェルを使用したホワイトニングが低価格で利用出来るのがとても良いと思いお願いしました。 初回の施術からしっかり白くなったので満足です! 今後お世話になります。
-
saki kさん
最近出来たサロンで通い始めましたか、セルフで医療ジェル使えてコスパ良いのでオススメです! リクライニングの椅子がマッサージになっててそこも個人的に嬉しいです!
-
m. aiharaさん
最近我孫子にオープンしたセルフホワイトニングサロンで、歯科で使用される医療ジェルを使用したホワイトニングがセルフでお得に通えるのでコスパが良くてオススメです。肝心の効果も初回から4トーンほど明るくなり想像以上でした。 今後もお世話になります...
-
R Aさん
最近オープンしたセルフホワイトニングサロンで、医療ジェルを使って通い放題で出来るのでとても良いです! 行く度にどんどん白くなるので毎回行くのが楽しみです!
はじめての方へ
医療提携ホワイトニングBloomin’我孫子が特にこだわっているサービスを紹介します。
エリア唯一の医療ジェルを使用したホワイトニング
当サロンは歯科クリニックの東京TMクリニックと提携しており、オンライン診療を活用することで歯科で使用される過酸化水素入りの医療ジェルの使用が可能です。
我孫子エリアのホワイトニングサロンは美容ホワイトニングと呼ばれる歯磨き粉の強力版ジェルで歯の表面の着色汚れを落とす施術のみとなります。歯自体を白くする効果は期待できず効果は限定的です。
一方で医療提携ホワイトニングBloomin’ 我孫子は過酸化水素入りの医療ジェルを使用することで、歯の内面・外面から色素を白くするため、歯科と同様クオリティの歯自体を白くするホワイトニングが可能になります。
また、万が一の場合のサポートも歯科医への連携が可能なため安心です。
歯科医で行うホワイトニングは、同様に過酸化水素入りの医療ジェルを使用しており、歯の内面から色素を漂白していくため綺麗な白さを目指すことが可能です。
ただ、歯科医の医療ジェルは濃度が濃いため、歯茎に痛みを感じる場合や一時的に知覚過敏になるケースがあります。
また、価格は1回あたり2~3万円程度となり白くするまで複数回通うと高額になるケースがあります。
当サロンは歯科医に比べて過酸化水素濃度を抑えることで痛みを抑えつつも、しっかりと歯を白くすることにはこだわった医療ジェルを使用しています。
濃度が低いから効果が出ないでは意味がないため、返金保証もお付けしています。
通い放題だからできる無理のないホワイトニング
当店では医療ジェルを使用したホワイトニングのため、歯の内面の色素の黄ばみを白くすることが出来、しっかり真っ白にすることが可能です。歯の内面から白くするため効果の持続も長く、見た目で大きな違いを出すことが可能です。
さらに通い放題だからこそ、ご自身のペースで通うことが可能です。集中的に来店して一気に白くしたり、週に1回のペースで通いつつも、色の濃い食事や飲み物をとったから行っておこう、といった通い方が可能です。
短期間で白くするためには、食べるものや飲み物に気を付けたほうが効果が出やすいですが、生活をする中で仕方がない時もあります。そのような日のリカバリーを追加料金なしで行えることで普段の生活でも極力無理のないホワイトニングを行っていただきたいと考えています。
エリア唯一の誰から見ても「白い!」と言われる水準まで白さ保障
当店では歯科医のホワイトニングで使用される過酸化水素入りの医療ジェルを使うことで歯科と同様クオリティの、歯自体を白くするホワイトニングが可能になります。
ただ、歯科医の医療ジェルは濃度が濃いため、歯茎に痛みを感じる場合や一時的に知覚過敏になるケースがあります。
当サロンはセルフサロンであり、お客様ご自身でジェルを塗っていただくことから歯茎への影響を考え歯科医と比べて過酸化水素濃度を抑えています。そうすることで痛みを抑えつつも、しっかりと歯を白くすることにこだわっています。
歯科医よりも濃度が低いため効果が出るか不安に感じる方もいらっしゃると思います。
当店では医療ジェルを使用したホワイトニングを実施して誰から見ても白いと言われる水準のS10まで到達しない場合、到達までの施術代金を無料で継続いただけます。
「白くなるけれど、痛みに我慢」「痛みは全くないけれど、白くならない」ということを感じることなく皆様に効果を実感いただく自信があるからこそ、エリア内のサロンでは実施していない独自の保証制度を行っております。
ご予約について
<お電話でご予約の方へ>
初めての場合は、お電話の際に「初めてです。ホームページを見ました」と言っていただければ私たちのほうからご案内させて頂きます。
プランだけを聞きたい場合でもお気軽にお問合せください。
*スタッフがマンツーマンで対応している為、お電話に出れないときがございます。 夜間、早朝などはネット予約をご活用ください。

〒270-1145
千葉県我孫子市高野山298渡辺サンヴィレB棟202
TEL:04-7197-4490

JR常磐線/天王台駅 歩16分
JR成田線/東我孫子駅 歩19分
JR常磐線/我孫子駅 歩32分
阪東バス高野山停留所 歩3分
356号線沿いガスト・セブンイレブンの裏
専用駐車場3台

11:00~20:00

クレジットカード・電子マネー・QR決済対応

不定休

完全個室でゆったり・リクライニングソファー・マッサージチェア・お子様同伴可
店舗所在地
〒270-1145 千葉県我孫子市高野山298 渡辺サンヴィレB棟202
医療提携ホワイトニングBloomin’我孫子
駐車場3台あり(敷地内)|阪東バス「高野山」停留所 徒歩2分
ご来店前にいただくご質問と回答
医療提携ホワイトニングBloomin’我孫子は医療ジェルを使用したホワイトニングに力を入れているセルフサロンです。
一般的なセルフホワイトニングサロンとは異なることもあり、ご来店前にお電話でご質問をいただくことがあります。
ここでは、ご来店前のお客様からよくいただくご質問と、その回答をまとめました。
Q.医療提携とは何?なぜ医療ジェルが使えるのですか?
A.医療提携とは、オンライン診療(LINEでその場で5分で完了)を活用し、
歯科のカウンセリングを受けることで歯科で使用される医療ジェルの処方を受けることが可能になります。処方を受けたらオンラインでジェルを購入しそれがサロンに届きます。
一般的なセルフホワイトニングサロンは美容ジェルのみしか提供が出来ません。
美容ジェルは、歯の表面の着色汚れ落としのみになるため効果が限定的で色戻りが早いです。
一方、歯科で採用される医療ジェルでは歯の外面・内面から色素を漂白していくため回数を重ねることでしっかり白くなります。
当店の場合は医療提携することで、安全に歯科のカウンセリングを受けながら歯科ジェルが使用できるため、効果だけでなく安心してご利用頂けます。
Q.セルフサロンと歯科のホワイトニングの違いは?
A.ホワイトニングは、歯を白くするという意味合いで、歯を白くするものと、歯に沈着した汚れを除去して現状よりも白くするもの、どちらもホワイトニングと呼ばれます。医療機関とサロンで行うホワイトニングには、使用される薬剤の種類や施術者、費用など、いくつか異なる点があります。
医療機関で行う歯科のホワイトニングは、歯科医師や歯科衛生士といった国家資格を保有するプロフェッショナルが取り扱います。過酸化水素水を含んだ高濃度のホワイトニング薬剤を使用でき、歯の内側からも白くなるため、回数を重ねることで元の歯よりも白く美しい歯を手に入れることができます。
一方、セルフホワイトニングサロンで行うホワイトニングは、民間が運営されており、医療機関と異なり有資格者がいないので、医療用のホワイトニング薬剤を扱えません。低濃度の薬剤を使用することが多いため、効果が出にくい可能性があります。また、歯の表面に付着したステインの除去にとどまり、歯そのものを白くする効果は期待できません。
医療提携ホワイトニングBloomin’我孫子は、セルフホワイトニングサロンでありながら、歯科提携をすることによって医療ホワイトニングジェルを使用した施術が可能です。オンライン診療を活用することで、お客様が提携する歯科から医療ジェルを購入し、その後、当サロンにて施術を行います。上記スキームにすることで、歯科よりも圧倒的にコストを抑えながら効果的なホワイトニングが可能になります。
Q.どれくらいの期間で効果を実感できますか?
A.年齢や生活習慣によって個人差はありますが、初めての方であれば医療ジェルを使用したホワイトニングではほとんどの方が1回の施術でも色の変化を実感いただいています。現状の歯のお色味を確認させていただき、おおよその来店回数をご案内させていただきます。白くなるまでは集中的に通えると早い段階で効果を実感いただきやすいです。通い放題ですのでコスパ良く白い歯を手に入れましょう。
Q.ホワイトニングが全く初めてですが、セルフでも大丈夫ですか?
A.当店はセルフサロンですので、スタッフがお客様の歯に医療ジェルを塗ることはできません。ただし、一緒に付き添ってやり方をご案内しますので初めてでも心配いりません。ホワイトニングマシンの操作はスタッフが行いますので施術中はリクライニングソファーやマッサージチェアでゆっくりとお過ごしください。
Q.歯茎が沁みたり痛みが出ないか不安です。
A.当店で使用するジェルはしっかりと白くすることと、痛みにくいことの両方にこだわった医療ジェルとなります。ただ、痛みの感じ方は個人差があるのも事実です。心配であれば医師の処方で沁み止めのジェルを使うことも可能です。オンライン診療でも沁みる可能性が少しでもある方には医師からご案内もしております。セルフサロンではありますがスタッフが常駐しておりますので何か不安がございましたらお気軽にスタッフへお申し付けください。
Q.ホワイトニングを行うことで歯や歯茎に悪影響はないですか?
A.ホワイトニングでは最初に医療ジェルを塗り、その後LEDライトによる熱を加えることで過酸化水素が歯を漂泊していきます。過酸化水素は歯を白くするだけでなく、虫歯の予防や口腔環境の改善にも効果的です。
過酸化水素が歯茎に触れることで、まれに歯茎の一部が白く変化することがあります。これは過酸化水素の刺激による反応で長くても1週間ほどで改善することがほとんどです。
ホワイトニングで歯がもろくなったり、虫歯が悪化することはありませんのでご安心ください。
Q.予約はどのようにして行うのでしょうか?変更やキャンセルはできますか?
A.ご予約・変更キャンセルはWEBかお電話にて承ります。変更やキャンセルの期限はありませんしキャンセル料などもございません。他のお客様のご予約枠を確保するために、変更キャンセルが分かった時点でお手続きをお願いいたします。

〒270-1145
千葉県我孫子市高野山298渡辺サンヴィレB棟202
TEL:04-7197-4490

JR常磐線/天王台駅 歩16分
JR成田線/東我孫子駅 歩19分
JR常磐線/我孫子駅 歩32分
阪東バス高野山停留所 歩3分
356号線沿いガスト・セブンイレブンの裏
専用駐車場3台

11:00~20:00

クレジットカード・電子マネー・QR決済対応

不定休

完全個室でゆったり・リクライニングソファー・マッサージチェア・お子様同伴可
店舗所在地
〒270-1145 千葉県我孫子市高野山298 渡辺サンヴィレB棟202
医療提携ホワイトニングBloomin’我孫子
駐車場3台あり(敷地内)|阪東バス「高野山」停留所 徒歩2分
医療提携ホワイトニングBloomin’我孫子のネット予約はこちら
1度目から白さを実感できる医療ジェルを使用したセルフホワイトニングを通い放題でリーズナブルに利用できます。歯科医と提携した確かな白さを体験しませんか?





