人前で歯をみせて笑うことに躊躇っていませんか?
-はじめての方へ-
歯の着色によるお悩みを解決する「医療提携ホワイトニングBloomin’我孫子」の5つのこだわり

当店はセルフホワイトニングサロンでありながら、歯科医との連携を行うことにより医師によるオンライン診療を行っています。最初に歯の状態を確認し、薬剤の使用やホワイトニング実施の可否を確認することで安心して始めていただくことにこだわっています。万が一の場合のサポートも歯科医への連携が可能なため安心です。
多くのセルフサロンでは医師の診療がないまま開始するため、効果が限定的な薬剤を使用したり、海外から輸入した日本での品質検査を受けていない薬剤を使用し、白くなるものの痛みが強く出ることがあります。当店では医師の診療・処方を受けた薬剤の使用ができるため安全でありながら納得のいく白さを実現することにこだわっています。

当店では一般的なサロンで使用される「美容ジェル」ではなく、歯科医で使用される「医療ジェル」を使うことができます。
これは「過酸化水素」という成分を含むジェルで、光の熱を加えることで水と活性酸素を発生させます。この発生した活性酸素が歯の内部にある着色物質とくっつき、汚れ分子を切断し分解する能力があります。これにより歯の表面だけでなく内部まで漂泊することができます。ホワイトニングの本来の目的である歯自体を白くすることが可能になります。それだけでなく、虫歯の予防や口腔環境の改善にも効果的です。
一方で一般的なサロンでは「美容ジェル」を使用しています。これは主成分である酸化チタン/ポリリン酸がLEDの光と反射し「光触媒」の作用で歯の表面に付着しているステインなどの汚れや細菌を分解・除去することができます。つまり、表面の着色汚れを落とす作業をしており歯自体を白くすることはできません。始めて数回の間は表面の汚れが落ちて少し白くなるものの、理想の白さになることなく辞めてしまう方が多いです。
当店ではセルフサロンという手軽さがありつつ、しっかりと効果を実感いただくことにこだわっています。

当店のホワイトニングは単に今よりも白くするだけではありません。芸能人のような白さを目指すのか、自然な白さにするのか具体的なイメージをすり合わせて目標を決めていきます。また生活習慣の中で歯の着色につながる要因を掘り下げて実現可能な範囲で改善案をご提案いたします。目的に合わせたご来店頻度などを提案させていただくことで一緒に理想の色まで取り組んでいきます。
過去にオーナーがサロンに通った際には、回数券を購入しその回数分通って物足りなければ追加するという繰り返しでした。現状どうなっていて、目標に近づけているかがわからない状態で結局通うのをやめてしまったことがありました。当店では1回1回の施術でのフィードバックなどを行い一緒に決めたロードマップに向けて取り組んでいくことにこだわっています。

ホワイトニングを開始されてからは極力集中して通っていただくことが最も効果的です。一度しっかり白くしてからは月に1回~2回のペースで続けていくと維持が可能です。最初は特に頻度が重要となるためしっかり白くなるまでの間は回数を気にせずにご来店いただきたいという思いから通い放題としました。歯科医では1回2万円~3万円、一般のホワイトニングサロンでは1回5000円~8000円となるため、回数を通おうと思うと心理的な抵抗が生まれやすく頻度が落ちてしまい効果が感じられなくなってしまいます。そうならないようリーズナブルな価格設定にしつつも歯科医レベルのホワイトニングを提供していきます。

当店では安心してご利用頂くために返金保証制度を設けております。
医療ジェルのホワイトニングを4回実施して一定の白さまで到達しなかった場合、
当店の施術料金を全額ご返金させて頂いております。
効果に自信があるからこそ、他店セルフホワイトニングではどこも行っていない独自の制度を採用しております。
オープン記念限定
「初回限定ホワイトニングと医療セルフホワイトニング通い放題」が期間限定でお得に利用できる
1度目から白さを実感できる医療ジェルを使用したセルフホワイトニングを通い放題でリーズナブルに利用できます。歯科医と提携した確かな白さを体験しませんか?LINE登録で限定プランをプレゼント。

「医療提携ホワイトニングBloomin’我孫子」セルフホワイトニングの施術

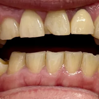
まずは施術前の解説です。
こちらのお客様はコーヒーやワインを飲む機会が多く、全体的に着色が目立つ状態です。これから理想の白さに向けて施術に入っていきます。

施術に入る前に医師によるオンライン診療を行います。簡単な質問にお答えいただき、お口の画像を送信すると1時間程度で医師の診療結果が届きます。施術可能となりましたら医療ジェルが処方されオンライン上で購入できます。

今の歯の状態からどれくらいの白さを目指すかを決めていきます。個人差はあるものの、おおよその施術回数の目安がわかりますので今後の通い方をご案内します。また、日常生活でご注意いただきたいことなどご案内しますので理想の白さに向けて一緒に取り組んでいきましょう。

お客様ご自身で、歯の表面のクリーニングや水分の拭き取りを行っていただきマウスオープナーを装着します。最後に医療ジェルを塗っていきます。医療ジェルにLEDライトの熱を加えることで水と活性酸素が発生します。この発生した活性酸素が歯の内部にある着色物質とくっつき、汚れ分子を切断し分解する能力があります。気になるところは特に丁寧に塗っていきましょう。
最初はスタッフが一つ一つご案内しますので初めての方でも心配いりません。

マッサージチェアに座っていただいたら、スタッフがマシンを操作しいよいよスタートです。30分の照射を2回行っていきます。照射中はマッサージされながらリラックスしてお過ごしください。
施術中は歯の着色汚れが分解され、歯自体が白くなっていきます。
何か気になることなどがございましたらボタンでスタッフをお呼びください。

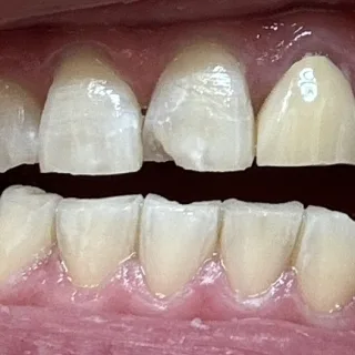
施術前と施術後のお色味の確認をいただきます。個人差はありますが4~5トーン明るくなる方がほとんどです。毎回の施術後に写真で記録していきますので毎回の変化を楽しみながら続けていきましょう。
Before → After
1回目の施術
スタッフによる特別な施術なし
高価な歯磨き粉の使用やケアは一切なし
1度の施術で6トーン明るさが変化しました。
こちらのお客様は初回の施術ですが全体的に着色の多かった歯が明るく艶やかに変化。
今後の施術でさらに白くきれいになっていきます。

歯の着色の悩みは「医療提携ホワイトニングBloomin’我孫子」にお任せ!!
歯科レベルの白さに導くエリアで唯一の過酸化水素入りジェルを使用した実力派のホワイトニング
薬剤が強すぎて痛い・沁みるを抑えたこだわりの医療ジェル
汚れの分解を効率的に行う業界最高レベルのLEDマシン
しっかり白くなるまで月に何度でも利用できるエリア唯一の通い放題サロン
効果が出なければ全額返金保証
あなたが自信をもって誇る、白く輝く笑顔を手に入れませんか!
我孫子駅・東我孫子駅・天王台駅から車で5分!
356号線沿いの隠れ家サロンです。
オープン記念限定
「初回限定ホワイトニングと医療セルフホワイトニング通い放題」が期間限定でお得に利用できる
1度目から白さを実感できる医療ジェルを使用したセルフホワイトニングを通い放題でリーズナブルに利用できます。歯科医と提携した確かな白さを体験しませんか?LINE登録で限定プランをプレゼント。

はじめての方へ
医療提携ホワイトニングBloomin’我孫子が特にこだわっているサービスを紹介します。
エリア唯一の医療ジェルを使用したホワイトニング
当サロンは歯科クリニックの東京TMクリニックと提携しており、オンライン診療を活用することで歯科で使用される過酸化水素入りの医療ジェルの使用が可能です。
我孫子エリアのホワイトニングサロンは美容ホワイトニングと呼ばれる歯磨き粉の強力版ジェルで歯の表面の着色汚れを落とす施術のみとなります。歯自体を白くする効果は期待できず効果は限定的です。
一方で医療提携ホワイトニングBloomin’ 我孫子は過酸化水素入りの医療ジェルを使用することで、歯の内面・外面から色素を白くするため、歯科と同様クオリティの歯自体を白くするホワイトニングが可能になります。
また、万が一の場合のサポートも歯科医への連携が可能なため安心です。
歯科医で行うホワイトニングは、同様に過酸化水素入りの医療ジェルを使用しており、歯の内面から色素を漂白していくため綺麗な白さを目指すことが可能です。
ただ、歯科医の医療ジェルは濃度が濃いため、歯茎に痛みを感じる場合や一時的に知覚過敏になるケースがあります。
また、価格は1回あたり2~3万円程度となり白くするまで複数回通うと高額になるケースがあります。
当サロンは歯科医に比べて過酸化水素濃度を抑えることで痛みを抑えつつも、しっかりと歯を白くすることにはこだわった医療ジェルを使用しています。
濃度が低いから効果が出ないでは意味がないため、返金保証もお付けしています。
通い放題だからできる無理のないホワイトニング
当店では医療ジェルを使用したホワイトニングのため、歯の内面の色素の黄ばみを白くすることが出来、しっかり真っ白にすることが可能です。歯の内面から白くするため効果の持続も長く、見た目で大きな違いを出すことが可能です。
さらに通い放題だからこそ、ご自身のペースで通うことが可能です。集中的に来店して一気に白くしたり、週に1回のペースで通いつつも、色の濃い食事や飲み物をとったから行っておこう、といった通い方が可能です。
短期間で白くするためには、食べるものや飲み物に気を付けたほうが効果が出やすいですが、生活をする中で仕方がない時もあります。そのような日のリカバリーを追加料金なしで行えることで普段の生活でも極力無理のないホワイトニングを行っていただきたいと考えています。
エリア唯一効果が出なければ返金保証
当店では歯科医のホワイトニングで使用される過酸化水素入りの医療ジェルを使うことで歯科と同様クオリティの、歯自体を白くするホワイトニングが可能になります。
ただ、歯科医の医療ジェルは濃度が濃いため、歯茎に痛みを感じる場合や一時的に知覚過敏になるケースがあります。
当サロンはセルフサロンであり、お客様ご自身でジェルを塗っていただくことから歯茎への影響を考え歯科医と比べて過酸化水素濃度を抑えています。そうすることで痛みを抑えつつも、しっかりと歯を白くすることにこだわっています。
歯科医よりも濃度が低いため効果が出るか不安に感じる方もいらっしゃると思います。
当店では医療ジェルを使用したホワイトニングを4回実施して一定の白さにならない場合には当店での施術代金を全額返金させていただきます。
「白くなるけれど、痛みに我慢」「痛みは全くないけれど、白くならない」ということを感じることなく皆様に効果を実感いただく自信があるからこそ、エリア内のサロンでは実施していない独自の保証制度を行っております。
ご予約について
<お電話でご予約の方へ>
初めての場合は、お電話の際に「初めてです。ホームページを見ました」と言っていただければ私たちのほうからご案内させて頂きます。
メニューが決まらない場合でもお気軽にお問合せください。 「相談して決めたい」とお伝えいただければ、ご来店の際に相談の上メニューを決めさせていただきます。
*スタッフがマンツーマンで対応している為、お電話に出れないときがございます。 夜間、早朝などはネット予約をご活用ください。

〒270-1145
千葉県我孫子市高野山298渡辺サンヴィレB棟202
TEL:04-7197-4490

JR常磐線/天王台駅 歩16分
JR成田線/東我孫子駅 歩19分
JR常磐線/我孫子駅 歩32分
阪東バス高野山停留所 歩3分
356号線沿いガスト・セブンイレブンの裏
専用駐車場3台

11:00~20:00

クレジットカード・電子マネー・QR決済対応

不定休

完全個室でゆったり・リクライニングソファー・マッサージチェア・お子様同伴可
店舗所在地
〒270-1145 千葉県我孫子市高野山298 渡辺サンヴィレB棟202
医療提携ホワイトニングBloomin’我孫子
駐車場3台あり(敷地内)|阪東バス「高野山」停留所 徒歩2分
ご来店前にいただくご質問と回答
医療提携ホワイトニングBloomin’我孫子は医療ジェルを使用したホワイトニングに力を入れているセルフサロンです。
一般的なセルフホワイトニングサロンとは異なることもあり、ご来店前にお電話でご質問をいただくことがあります。
ここでは、ご来店前のお客様からよくいただくご質問と、その回答をまとめました。
Q.医療提携とは何?なぜ医療ジェルが使えるのですか?
A.医療提携とは、オンライン診療(LINEでその場で5分で完了)を活用し、
歯科のカウンセリングを受けることで歯科で使用される医療ジェルの処方を受けることが可能になります。処方を受けたらオンラインでジェルを購入しそれがサロンに届きます。
一般的なセルフホワイトニングサロンは美容ジェルのみしか提供が出来ません。
美容ジェルは、歯の表面の着色汚れ落としのみになるため効果が限定的で色戻りが早いです。
一方、歯科で採用される医療ジェルでは歯の外面・内面から色素を漂白していくため回数を重ねることでしっかり白くなります。
当店の場合は医療提携することで、安全に歯科のカウンセリングを受けながら歯科ジェルが使用できるため、効果だけでなく安心してご利用頂けます。
Q.セルフサロンと歯科のホワイトニングの違いは?
A.ホワイトニングは、歯を白くするという意味合いで、歯を白くするものと、歯に沈着した汚れを除去して現状よりも白くするもの、どちらもホワイトニングと呼ばれます。医療機関とサロンで行うホワイトニングには、使用される薬剤の種類や施術者、費用など、いくつか異なる点があります。
医療機関で行う歯科のホワイトニングは、歯科医師や歯科衛生士といった国家資格を保有するプロフェッショナルが取り扱います。過酸化水素水を含んだ高濃度のホワイトニング薬剤を使用でき、歯の内側からも白くなるため、回数を重ねることで元の歯よりも白く美しい歯を手に入れることができます。
一方、セルフホワイトニングサロンで行うホワイトニングは、民間が運営されており、医療機関と異なり有資格者がいないので、医療用のホワイトニング薬剤を扱えません。低濃度の薬剤を使用することが多いため、効果が出にくい可能性があります。また、歯の表面に付着したステインの除去にとどまり、歯そのものを白くする効果は期待できません。
医療提携ホワイトニングBloomin’我孫子は、セルフホワイトニングサロンでありながら、歯科提携をすることによって医療ホワイトニングジェルを使用した施術が可能です。オンライン診療を活用することで、お客様が提携する歯科から医療ジェルを購入し、その後、当サロンにて施術を行います。上記スキームにすることで、歯科よりも圧倒的にコストを抑えながら効果的なホワイトニングが可能になります。
Q.どれくらいの期間で効果を実感できますか?
A.年齢や生活習慣によって個人差はありますが、初めての方であれば医療ジェルを使用したホワイトニングではほとんどの方が1回の施術でも色の変化を実感いただいています。現状の歯のお色味を確認させていただき、おおよその来店回数をご案内させていただきます。白くなるまでは集中的に通えると早い段階で効果を実感いただきやすいです。通い放題ですのでコスパ良く白い歯を手に入れましょう。
Q.ホワイトニングが全く初めてですが、セルフでも大丈夫ですか?
A.当店はセルフサロンですので、スタッフがお客様の歯に医療ジェルを塗ることはできません。ただし、一緒に付き添ってやり方をご案内しますので初めてでも心配いりません。ホワイトニングマシンの操作はスタッフが行いますので施術中はリクライニングソファーやマッサージチェアでゆっくりとお過ごしください。
Q.歯茎が沁みたり痛みが出ないか不安です。
A.当店で使用するジェルはしっかりと白くすることと、痛みにくいことの両方にこだわった医療ジェルとなります。ただ、痛みの感じ方は個人差があるのも事実です。心配であれば医師の処方で沁み止めのジェルを使うことも可能です。オンライン診療でも沁みる可能性が少しでもある方には医師からご案内もしております。セルフサロンではありますがスタッフが常駐しておりますので何か不安がございましたらお気軽にスタッフへお申し付けください。
Q.ホワイトニングを行うことで歯や歯茎に悪影響はないですか?
A.ホワイトニングでは最初に医療ジェルを塗り、その後LEDライトによる熱を加えることで過酸化水素が歯を漂泊していきます。過酸化水素は歯を白くするだけでなく、虫歯の予防や口腔環境の改善にも効果的です。
過酸化水素が歯茎に触れることで、まれに歯茎の一部が白く変化することがあります。これは過酸化水素の刺激による反応で長くても1週間ほどで改善することがほとんどです。
ホワイトニングで歯がもろくなったり、虫歯が悪化することはありませんのでご安心ください。
Q.予約はどのようにして行うのでしょうか?変更やキャンセルはできますか?
A.ご予約・変更キャンセルはWEBかお電話にて承ります。変更やキャンセルの期限はありませんしキャンセル料などもございません。他のお客様のご予約枠を確保するために、変更キャンセルが分かった時点でお手続きをお願いいたします。

〒270-1145
千葉県我孫子市高野山298渡辺サンヴィレB棟202
TEL:04-7197-4490

JR常磐線/天王台駅 歩16分
JR成田線/東我孫子駅 歩19分
JR常磐線/我孫子駅 歩32分
阪東バス高野山停留所 歩3分
356号線沿いガスト・セブンイレブンの裏
専用駐車場3台

11:00~20:00

クレジットカード・電子マネー・QR決済対応

不定休

完全個室でゆったり・リクライニングソファー・マッサージチェア・お子様同伴可
店舗所在地
〒270-1145 千葉県我孫子市高野山298 渡辺サンヴィレB棟202
医療提携ホワイトニングBloomin’我孫子
駐車場3台あり(敷地内)|阪東バス「高野山」停留所 徒歩2分
オープン記念限定
「初回限定ホワイトニングと医療ジェルを使用したホワイトニング通い放題」が期間限定でお得に利用できる
1度目から白さを実感できる医療ジェルを使用したセルフホワイトニングを通い放題でリーズナブルに利用できます。歯科医と提携した確かな白さを体験しませんか?LINE登録で限定プランをプレゼント。








